มะเร็งปอด ภัยเงียบจาก PM2.5 และสัญญาณเตือนที่คุณควรรู้
หลายคนคงติดตามข่าวของคุณเอ๋ พรทิพย์ ภรรยาคุณปอ ณัฐวุฒิ ที่ป่วยเป็นมะเร็งปอด ซึ่งกรณีของคุณเอ๋เป็นตัวอย่างที่น่าสนใจที่เชื่อมโยงกับมลภาวะทางอากาศ PM2.5 โดยเฉพาะในกลุ่มผู้หญิงเอเชียที่ไม่สูบบุหรี่ บทความนี้จะสรุปประเด็นสำคัญเกี่ยวกับมะเร็งปอด สาเหตุที่เกี่ยวข้องกับ PM2.5 และสิ่งที่คุณควรรู้เพื่อป้องกันตัวเอง
มะเร็งปอดคืออะไร และ PM2.5 เกี่ยวข้องอย่างไร?
มะเร็งปอดหลักๆ มี 2 ชนิด คือ ชนิดเซลล์เล็ก (small cell) ที่รุนแรง และชนิดเซลล์ไม่เล็ก (non-small cell) ที่พบได้บ่อยกว่า โดยเฉพาะในผู้หญิง การศึกษาในไต้หวันชี้ให้เห็นว่า ผู้หญิงในเอเชียตะวันออกมีแนวโน้มป่วยเป็นมะเร็งปอดเพิ่มขึ้นอย่างมีนัยสำคัญ โดยเฉพาะในจีนและเกาหลีเหนือ ซึ่งนักวิจัยเชื่อว่าเชื่อมโยงกับมลภาวะทางอากาศอย่าง PM2.5
ชนิดย่อยที่พบบ่อยที่สุดของมะเร็งปอดชนิดเซลล์ไม่เล็กคือ adenocarcinoma ซึ่งสัมพันธ์กับการกลายพันธุ์ของยีน EGFR ที่อยู่บริเวณถุงลม เมื่อยีนนี้ถูกกระตุ้นจาก PM2.5 ซ้ำๆ อาจทำให้เซลล์ถุงลมกลายสภาพเป็นเซลล์มะเร็งได้ นี่คือสิ่งที่ทำให้ผู้หญิงที่ไม่สูบบุหรี่ แต่ต้องเผชิญกับ PM2.5 มีความเสี่ยงเพิ่มขึ้น
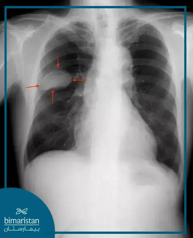
กรณีของคุณเอ๋ พรทิพย์: บทเรียนสำคัญ
คุณเอ๋ พรทิพย์ ตรวจพบมะเร็งปอดจากการที่เธอมีอาการเสียงแหบและไปตรวจร่างกายอย่างละเอียด แม้ว่าเสียงแหบอาจไม่ใช่สาเหตุโดยตรง แต่ก็เป็นจุดเริ่มต้นที่ทำให้เธอไปพบแพทย์ คุณเอ๋เข้ารับการทำ CT scan ซึ่งเผยให้เห็นก้อนเนื้อบริเวณปอดด้านซ้ายหลังหัวใจ ซึ่งเป็นตำแหน่งที่ X-ray ทั่วไปอาจมองไม่เห็น ก้อนเนื้อของคุณเอ๋มีขนาดประมาณ 2-3 เซนติเมตร จัดอยู่ในระยะที่ 1 (น่าจะ 1b)
การรักษาที่คุณเอ๋ได้รับคือการผ่าตัดปอดด้วยวิธี VATS (Video-Assisted Thoracoscopic Surgery) ซึ่งเป็นการผ่าตัดแบบส่องกล้อง หลังการผ่าตัด ชิ้นเนื้อจะถูกนำไปตรวจเพื่อหายีนกลายพันธุ์ ซึ่งเป็นข้อมูลสำคัญในการวางแผนการรักษาด้วย ยาพุ่งเป้า (Targeted Therapy) หรือ ภูมิคุ้มกันบำบัด (Immunotherapy) ที่เหมาะสมกับลักษณะเฉพาะของมะเร็ง
การป้องกันและรับมือกับ PM2.5
คำถามสำคัญคือ เราจะรู้ได้อย่างไรว่ามียีนกลายพันธุ์นี้ และจะใช้ชีวิตอย่างไรในสภาพแวดล้อมที่มี PM2.5 สูง?
- ตรวจหายีนกลายพันธุ์: ปัจจุบันสามารถทำได้ด้วยการเจาะเลือดตรวจหาความผิดปกติของยีนที่เกี่ยวข้องกับมะเร็งปอด หากพบว่ามียีนกลายพันธุ์ ก็จะช่วยให้เราเฝ้าระวังและปรับเปลี่ยนพฤติกรรมได้ทันท่วงที
- สร้างสภาพแวดล้อมที่ปลอดภัยในบ้าน: ในช่วงที่ PM2.5 สูง โดยเฉพาะช่วงเดือนตุลาคมถึงกุมภาพันธ์ คุณสามารถสร้างห้องแรงดันบวกในบ้านได้ง่ายๆ โดยใช้พัดลมดูดอากาศผ่านแผ่นกรองอากาศ (Hepa filter) แล้วปล่อยอากาศบริสุทธิ์เข้าไปในห้อง วิธีนี้ช่วยลดปริมาณ PM2.5 ในบ้านได้อย่างมีประสิทธิภาพ
- เฝ้าระวังอาการ: หากมีอาการผิดปกติ เช่น ไอเรื้อรัง เหนื่อยง่าย เจ็บหน้าอก หรือเสียงแหบ ควรปรึกษาแพทย์เพื่อตรวจวินิจฉัย
การเข้าใจความเชื่อมโยงระหว่าง PM2.5 และมะเร็งปอด รวมถึงการรู้จักวิธีป้องกันและสังเกตอาการผิดปกติ เป็นสิ่งสำคัญในการดูแลสุขภาพปอดของเราในปัจจุบัน
ญี่ปุ่น-เกาหลีฯ เริ่มไม่ทน ไล่แรงงานเขมรกลับประเทศ หลังรวมตัวกันประท้วง เรียกร้องให้ประณามประเทศไทยที่รุกรานเขมร
รีวิวพลีชีพ "รถไฟฟ้าป้ายแดง" พาขึ้นภูทับเบิกช่วงเทศกาล... จากทริปในฝัน กลายเป็นบทเรียนราคาแพง (ครั้งแรกและครั้งเดียวพอ?)
จังหวัดในประเทศไทย ที่มีจำนวนนักท่องเที่ยวน้อยที่สุดในปัจจุบัน
4 ราศีที่จะได้รับโชคลาภในปี 2026 จากมังกรศักดิ์สิทธิ์
สีกระเป๋าสตางค์เสริมดวงตามวันเกิด ประจำปี พ.ศ.2569 สำหรับ คนเกิดวันอาทิตย์ - คนเกิดวันพุธกลางวัน
สถานที่สำคัญแห่งล่าสุดของไทย ที่ได้รับการยกย่องให้เป็นแหล่งมรดกโลก
ภาพถ่ายครั้งสุดท้ายของเรือไททานิก ที่ถูกบันทึกไว้ก่อนเรือจะอับปาง
เหมืองแร่ทองคำ ที่มีขนาดใหญ่ที่สุดอันดับหนึ่งของไทย
หลานกลับบ้านเกิด ยายเอานมบูด มาตอนรับ พูดประโยคเดียวจุกอก
เช็กด่วน! 4 ผงอันตรายใกล้ตัวในครัวเรือน บริโภคสะสมเสี่ยงโรคร้ายทำลายสุขภาพระยะยาว
ชายบราซิลเสียชีวิตต่อหน้าเมีย ขณะลงแข่งกินแตงโมเพื่อของรางวัล
โอเลี้ยง vs อเมริกาโน่ กาแฟดำเหมือนกัน แต่ทำไมรสชาติถึงต่างกันราวฟ้ากับเหว?
สถานที่สำคัญแห่งล่าสุดของไทย ที่ได้รับการยกย่องให้เป็นแหล่งมรดกโลก
หลานกลับบ้านเกิด ยายเอานมบูด มาตอนรับ พูดประโยคเดียวจุกอก
คิวบาเผย "พลเมืองคิวบาดับ 32 ราย ขณะทหารมะกันบุกจับผู้นำเวเนซุเอลา"
เช็กด่วน! 4 ผงอันตรายใกล้ตัวในครัวเรือน บริโภคสะสมเสี่ยงโรคร้ายทำลายสุขภาพระยะยาว
รีวิวพลีชีพ "รถไฟฟ้าป้ายแดง" พาขึ้นภูทับเบิกช่วงเทศกาล... จากทริปในฝัน กลายเป็นบทเรียนราคาแพง (ครั้งแรกและครั้งเดียวพอ?)







