แปรงฟันครั้งล่าสุดเมื่อ 20ปีที่แล้ว‼️
เขียนโดย เบาหวิวว
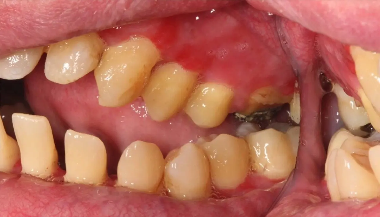
ผู้ป่วยรายหนึ่งเดินทางมาที่โรงพยาบาล เพื่อปรึกษากับทันตแพทย์ เรื่องกลิ่นปาก หลังเพื่อนของเขาวิจารณ์เรื่องกลิ่นปากเหม็น และตัวเองก็มีโรคเหงือกอักเสบเรื้อรังมายาวนาน
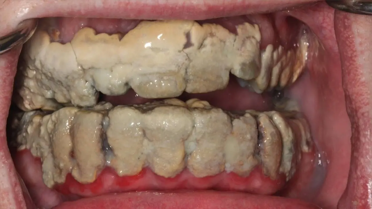
จากนั้นคณหมอก็ถามว่า ผู้ป่วยแปรงฟันครั้งล่าสุดเมื่อไร เขาบอกกับคุณหมอว่า แปรงฟันครั้งสุดท้ายเมื่อ 20 ปีที่แล้ว จากนั้นคุณหมอได้เชิญผู้ป่วยขึ้นเตียงพร้อมกับอธิบายว่าผู้ป่วยต้องขูดหินปูนนะ
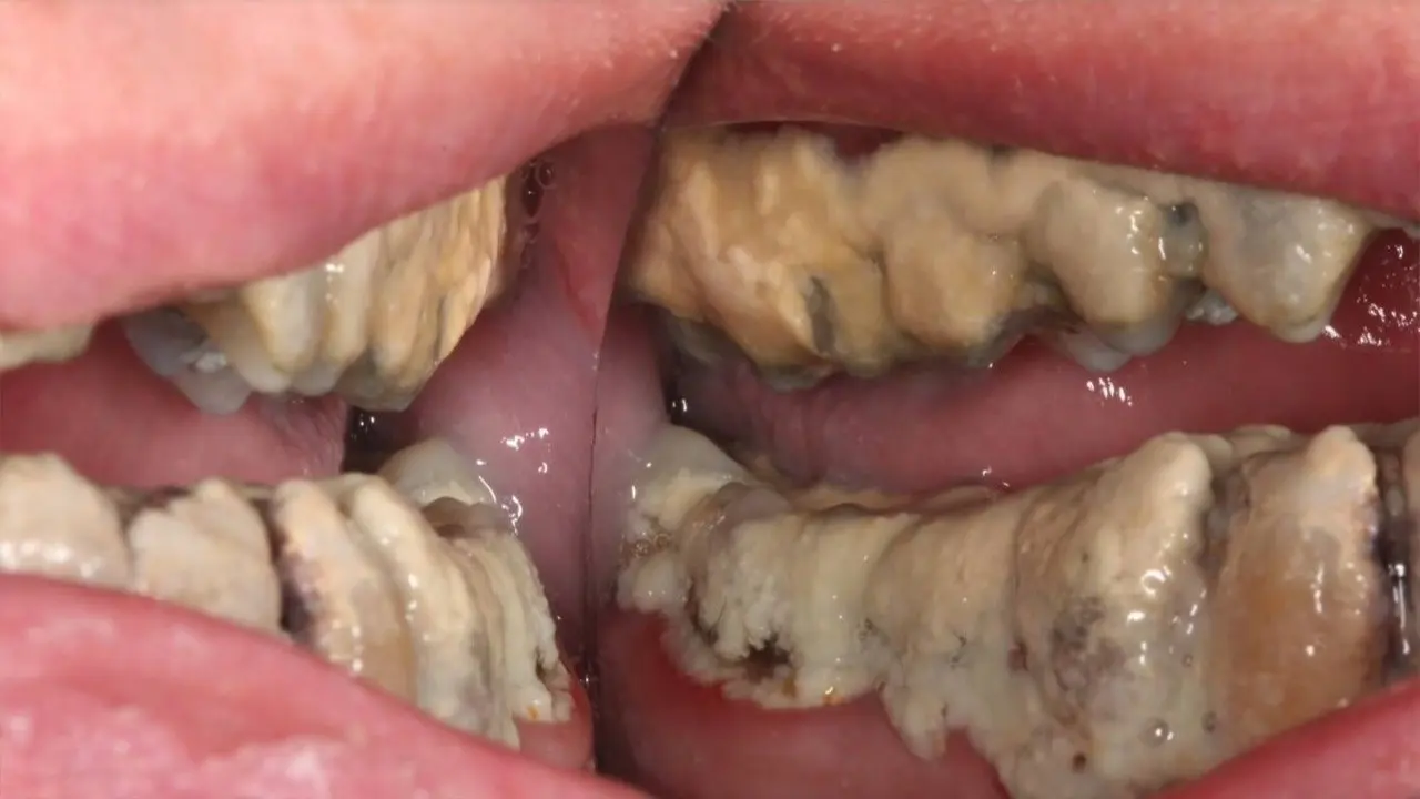
และต่อไปนี้ ผู้ป่วยต้องมั่นรักษาเรื่องความสะอาดในช่องปากนะ นี่เห็นไหม มันสะสมมายาวนาน จนหินปูนหนาอย่างกับผนังถํ้าเลย
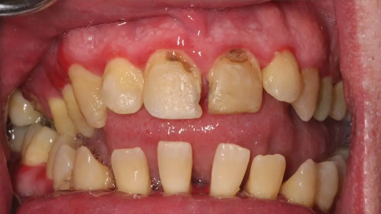
(ภาพก่อนและหลังจากการขูดหินปูน)
โพสท์โดย: Phoudom
แหล่งที่มา:
แหล่งที่มา:
เขียนโดย เบาหวิวว
เป็นกำลังใจให้เจ้าของกระทู้โดยการ VOTE และ SHARE
10 VOTES (5/5 จาก 2 คน)
VOTED: zerotype, นายคำโดย คูชมไผ่
Hot Topic ที่น่าสนใจอื่นๆ
AI วิเคราะห์เลขท้าย 2 ตัว งวด 1 เม.ย. 69 จากสถิติย้อนหลัง 20 ปี
10 จังหวัดที่ “อากาศร้อนที่สุดในไทย” ร้อนจนอยู่ยากแค่ไหน
จังหวัดไหน “ร้อนนานที่สุดในไทย” ไม่ใช่แค่ร้อนแรง แต่ร้อนยาวทั้งปี
10 อาชีพที่ AI กำลังแทนที่เร็วที่สุดในไทย (มีของคุณไหม)
อาจารย์ออร่า มหารานี แนวทางมหาเศรษฐีงวด 1 เม.ย. 69 กับทักษาโหรรานี
จังหวัดเดียวในไทย ที่ ไม่มีนิคมอุตสาหกรรมเลยแม้แต่แห่งเดียว
เลขเด็ด เจ้าแม่ตะเคียน แนวทางรวยงวด 1 เม.ย. 69
จังหวัดเดียวในไทย ที่ไม่มีภูเขาเลยแม้แต่ลูกเดียว
คอหวยจับตา เจ้าพ่อปากแดง เผยเลขเด่นงวด 1 เม.ย. 69
มัดรวมแนวทางตัวเลขจาก 3 เจ้าแม่ดัง งวด 1 เมษายน 2569
5 อาชีพรายได้สูงในไทย แต่คนส่วนใหญ่ยังไม่รู้
4 อันดับประเทศที่มีความสุขที่สุดในเอเชีย ปี2026Hot Topic ที่มีผู้ตอบล่าสุด
ซุปมันหวาน จากอาหารยุคขาดแคลน สู่เมนูอบอุ่นยอดนิยมยุคใหม่
วิกฤตน้ำมันแพงดันวิถีดั้งเดิมคืนทุ่ง! ชาวบ้านฉะเชิงเทราพลิกวิกฤตเปิดเช่า "ควายไถนา" ลดต้นทุนเกษตรกร
ชายชราอินเดียเกือบตายเพราะถูกคนในครอบครัวยัดใส่กระสอบ เพราะอยากประหยัดค่าตั๋ว
ราคาทองพุ่งไปอีกเท่าไร
เช็กด่วน! อันตรายบะหมี่กึ่งสำเร็จรูป พบสารก่อมะเร็งใน "ผงปรุงรส-ผักอบแห้ง" พร้อมวิธีทานให้ปลอดภัย
การทานอาหารเมนูเดิมซ้ำ ๆ อาจช่วยลดน้ำหนักได้










