การวิจัยทางวิทยาศาสตร์ที่ก้าวล้ำแสดงให้เห็นว่า “การอดอาหาร” มีผลกระทบในทางที่ดีต่อการทำงานของสมอง
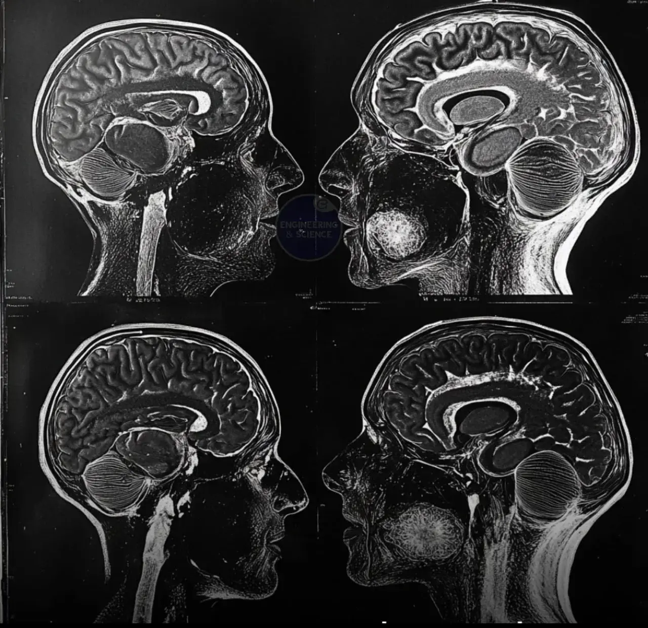
ในโลกที่เทคโนโลยีทางวิทยาศาสตร์ก้าวหน้าไปอย่างไม่หยุดยั้ง การศึกษาที่เกี่ยวข้องกับสมองได้เผยให้เห็นถึงผลกระทบที่น่าทึ่งของการอดอาหารต่อระบบประสาท ด้วยการใช้เทคโนโลยีสแกนสมองขั้นสูง นักวิจัยสามารถสังเกตการเปลี่ยนแปลงของสมองเมื่อร่างกายเข้าสู่สภาวะอดอาหาร และพบว่ากระบวนการนี้ช่วยเพิ่มความยืดหยุ่นทางประสาท สมรรถภาพทางการรับรู้ และความกระจ่างแจ้งของจิตใจได้อย่างน่าทึ่ง
การอดอาหารกระตุ้นให้สมองเกิดการเปลี่ยนแปลงทางโครงสร้างและหน้าที่ โดยมีผลต่อกระบวนการที่เรียกว่า neuroplasticity หรือความสามารถของสมองในการปรับตัวและสร้างเครือข่ายเส้นประสาทใหม่ การเปลี่ยนแปลงเหล่านี้ส่งผลโดยตรงต่อการลดความเสี่ยงของโรคทางระบบประสาท เช่น อัลไซเมอร์และพาร์กินสัน โดยการส่งเสริมการสร้างเซลล์สมองใหม่ (neurogenesis) และกระตุ้นการทำงานของโปรตีนที่เกี่ยวข้องกับการปกป้องเซลล์ประสาท นอกจากนี้ การอดอาหารยังช่วยลดการอักเสบของสมอง ซึ่งเป็นปัจจัยสำคัญที่เกี่ยวข้องกับโรคทางระบบประสาทหลายประเภท
นอกเหนือจากผลกระทบเชิงสรีรวิทยาแล้ว การอดอาหารยังเป็นปัจจัยที่ช่วยเสริมสร้างศักยภาพของจิตใจ ผู้ที่อดอาหารเป็นประจำมักรายงานว่าพวกเขามีสมาธิที่ดีขึ้น ความคิดกระจ่างขึ้น และสามารถจดจำสิ่งต่างๆ ได้ดีขึ้น ซึ่งอาจเกิดจากการที่ร่างกายเข้าสู่ภาวะ ketosis หรือภาวะที่ร่างกายเผาผลาญไขมันเป็นพลังงานแทนน้ำตาล กระบวนการนี้ไม่เพียงแต่ช่วยให้ร่างกายทำงานอย่างมีประสิทธิภาพ แต่ยังช่วยให้สมองได้รับพลังงานที่บริสุทธิ์และสม่ำเสมอมากขึ้น
เมื่อกระแสของ biohacking หรือการปรับแต่งชีวภาพเพื่อเพิ่มประสิทธิภาพของร่างกายและจิตใจเริ่มได้รับความนิยมมากขึ้น การอดอาหารได้กลายเป็นหนึ่งในเครื่องมือที่ได้รับการสนับสนุนทางวิทยาศาสตร์ว่ามีบทบาทสำคัญต่อสุขภาพสมองและความเป็นอยู่ที่ดีของมนุษย์ การเชื่อมโยงระหว่างการอดอาหารกับความอายุยืนยาว (longevity) ยังเป็นอีกหนึ่งแง่มุมที่กำลังได้รับความสนใจจากนักวิทยาศาสตร์และนักโภชนาการ เนื่องจากหลักฐานทางงานวิจัยชี้ให้เห็นว่าการจำกัดแคลอรี่อาจช่วยยืดอายุขัยและลดความเสี่ยงของโรคที่เกี่ยวข้องกับความเสื่อมของร่างกาย
แม้ว่าการอดอาหารจะมีประโยชน์มากมาย แต่ก็ควรดำเนินการอย่างระมัดระวังและเหมาะสมกับแต่ละบุคคล โดยเฉพาะอย่างยิ่งสำหรับผู้ที่มีโรคประจำตัวหรือข้อจำกัดทางสุขภาพ การให้ความสำคัญกับสมดุลของร่างกายและการฟังสัญญาณจากร่างกายเป็นสิ่งสำคัญเพื่อให้การอดอาหารเป็นประโยชน์อย่างแท้จริง
ดังนั้น หากคุณกำลังมองหาวิธีเพิ่มประสิทธิภาพการทำงานของสมองและส่งเสริมสุขภาพโดยรวม การอดอาหารอาจเป็นแนวทางที่น่าสนใจและคุ้มค่าต่อการศึกษา ด้วยหลักฐานทางวิทยาศาสตร์ที่สนับสนุนอย่างต่อเนื่อง เราอาจได้เห็นว่าในอนาคต การอดอาหารจะกลายเป็นหนึ่งในเครื่องมือสำคัญที่ช่วยให้มนุษย์มีสุขภาพที่ดีและมีอายุยืนยาวขึ้น
จังหวัดในประเทศไทย ที่มีจำนวนนักท่องเที่ยวน้อยที่สุดในปัจจุบัน
ญี่ปุ่น-เกาหลีฯ เริ่มไม่ทน ไล่แรงงานเขมรกลับประเทศ หลังรวมตัวกันประท้วง เรียกร้องให้ประณามประเทศไทยที่รุกรานเขมร
สีกระเป๋าสตางค์เสริมดวงตามวันเกิด ประจำปี พ.ศ.2569 สำหรับ คนเกิดวันอาทิตย์ - คนเกิดวันพุธกลางวัน
รีวิวพลีชีพ "รถไฟฟ้าป้ายแดง" พาขึ้นภูทับเบิกช่วงเทศกาล... จากทริปในฝัน กลายเป็นบทเรียนราคาแพง (ครั้งแรกและครั้งเดียวพอ?)
เหมืองแร่ทองคำ ที่มีขนาดใหญ่ที่สุดอันดับหนึ่งของไทย
4 ราศีที่จะได้รับโชคลาภในปี 2026 จากมังกรศักดิ์สิทธิ์
ปิดตำนาน 13 ปี มิตซูบิชิ มิราจ! ยุติการผลิตถาวร พร้อมเหตุผลที่ต้องโบกมือลาตลาดอีโคคาร์
ควรต้มไข่ในน้ำเย็นหรือน้ำเดือด?
เปิดประวัติ "Cheerio" ผู้เล่นเงาของ Tokyogurl
รวมภาพตลกเฮฮาประจำวันนี้ 05/01/69 วันที่อากาศเย็น แถมเป็นวันทำงานหลังปีใหม่ อยากนอนอยู่บ้านอีกจังหนอ
นี่สนามรบไม่ใช่ฮาเร็ม ทหารเขมรหิ้วเมียเข้าสนามรบ ช่วยใส่ลูกปืน สุดท้าย ดับคาบังเกอร์
รวมภาพเรียกรอยยิ้มประจำวันนี้ ส่วนข้อคิดก็คือวันหยุด วันแห่งความสุขมักจะหมดเร็ว แป๊บเดียววันหยุดมันก็จะผ่านไป ขอบคุณครับ
ด่วนที่สุด กรุงการากัสเดือด! สหรัฐฯ เปิดฉากปฏิบัติการ "โทมาฮอว์ก" ถล่มเวเนซุเอลา
แฉให้ยับ! "เชลยเขมร" ถึงบ้านปุ๊บ รีบอัดคลิปแฉทันที! "เงินบริจาค" หายเกลี้ยง! โดนรัฐบาลปล้นเรียบไม่เหลือถึงมือแม้แต่บาทเดียว!
เขมรโวย หาว่าไทยล้ำแดน หลังทหารไทย ยกตู้คอนเทนเนอร์ไปวาง
อดีตค่าเงินที่มีธนบัตรมูลค่าใบละหนึ่งร้อยล้านล้าน
ปิดตำนาน 13 ปี มิตซูบิชิ มิราจ! ยุติการผลิตถาวร พร้อมเหตุผลที่ต้องโบกมือลาตลาดอีโคคาร์



