ตำนานแปลก!! "แมลงสาบในปอด"
เรื่องนี้คือตำนาน "แมลงสาบในปอด" ที่เคยเป็นไวรัลเขย่าขวัญคนเล่นโซเชียลทั่วโลก รวมถึงในไทยด้วยครับ ฟังดูเหมือนเอเลี่ยนจะบุกร่างมนุษย์ แต่ตอนจบกลับหักมุมกลายเป็นเรื่องตลกร้ายของวงการเทคนิคการแพทย์ไปเสียอย่างนั้น
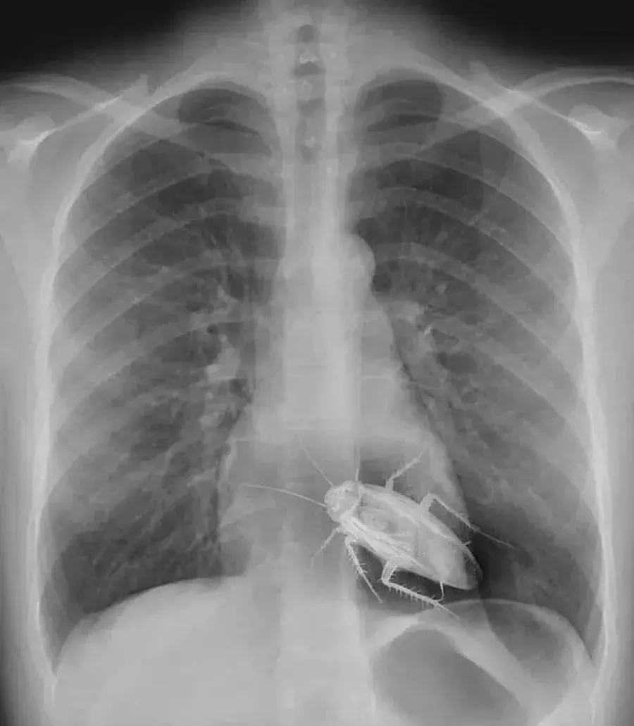
จุดเริ่มต้นความสยองบนแผ่นฟิล์ม เหตุการณ์เกิดขึ้นที่โรงพยาบาลในเคนยา (บางแหล่งข่าวระบุว่าเป็นโรงพยาบาล Kenyatta National Hospital) ชายคนหนึ่งมาตรวจเอกซเรย์หน้าอกด้วยอาการป่วยบางอย่าง แต่เมื่อผลเอกซเรย์ออกมา ทั้งหมอและคนไข้ถึงกับหน้าถอดสี เพราะในภาพปรากฏ เงาดำทะมึนรูปแมลงสาบ ชัดเจนระดับ 4K อยู่ในช่องอกของคนไข้
ความช็อกระดับประเทศข่าวนี้แพร่กระจายไปอย่างรวดเร็ว เกิดการวิพากษ์วิจารณ์ไปต่าง ๆ นานา
มันเข้าไปได้ยังไง มันเข้าไปทางปากหรือจมูกตอนหลับใช่ไหม? คนไข้ยังมีชีวิตอยู่ได้ยังไงโดยที่มีแมลงสาบตัวเป็น ๆ อยู่ข้างใน?
ความจริงใต้เครื่องเอกซเรย์ หลังจากที่หมอเริ่มเอะใจและตรวจสอบอย่างละเอียด รวมถึงอาจจะมีการส่งคนไข้ไปเอกซเรย์ซ้ำอีกรอบ ความจริงที่น่าเหลือเชื่อก็ปรากฏ...
และยังมี สำนักข่าว Khmer Times เมื่อวันที่ 23 เมษายน 2018 (พ.ศ. 2561) ซึ่งเนื้อหาเป็นภาคต่อจากเรื่อง "แมลงสาบในอก" ที่เราเพิ่งคุยกันครับ แต่เหตุการณ์ในข่าวนี้เกิดขึ้นที่ กัมพูชา
กระทรวงสาธารณสุขกัมพูชา ตำหนิการแชร์ภาพเอกซเรย์แมลงสาบ กระทรวงสาธารณสุขกัมพูชาได้เรียกร้องให้ผู้ใช้ Facebook หยุดแชร์ข้อมูลที่ไม่มีมูลความจริง ซึ่งบิดเบือนข้อเท็จจริงและส่งผลกระทบต่อเกียรติยศของภาคส่วนสาธารณสุข รวมถึงสร้างความสับสนให้กับประชาชน
คำสั่งนี้มีขึ้นหลังจากเพจ Facebook ชื่อ "Merl Komsan" ได้โพสต์ภาพเอกซเรย์ที่มีเงาแมลงสาบเกาะอยู่ตรงช่วงไหล่/อก พร้อมระบุเรื่องราวว่า ชายคนหนึ่งในจังหวัดไพรแวง (Prey Veng) ไปหาหมอแล้วหมอบอกว่ามี "แมลงสาบมีชีวิต" อยู่ในร่างกาย ทำให้เขารู้สึกปวดไหล่ ชายคนนี้จึงเดินทางไปรักษาตัวที่ประเทศอินเดีย แต่หมอที่นั่นบอกว่าไม่มีแมลงสาบในตัวเขาหรอก แต่มัน "อยู่ในเครื่องเอกซเรย์" ต่างหาก
กระทรวงสาธารณสุขยืนยันว่าโพสต์ดังกล่าวซึ่งกลายเป็นไวรัลในกัมพูชาเป็น "ข่าวปลอม" (Fake News) และขอให้หยุดแชร์ เพราะการกุเรื่องว่าเกิดขึ้นในจังหวัดไพรแวงนั้นทำให้เสื่อมเสียชื่อเสียงการแพทย์ในประเทศ และสร้างความเข้าใจผิดต่อระบบการตรวจรักษาของกัมพูชา
การดำเนินการทางกฎหมาย: กระทรวงฯ ระบุว่ากำลังหาทางดำเนินคดีทางกฎหมายกับผู้ที่โพสต์ข่าวปลอมนี้ โดยโฆษกกระทรวง (นายลี โสวัน) แนะนำว่า หากพบความผิดพลาดทางการแพทย์จริงๆ ให้แจ้งกระทรวงโดยตรง ไม่ใช่โพสต์ลงโซเชียลเพื่อสร้างความปั่นป่วน
บทสรุปและการขอโทษ ทางเพจ "Merl Komsan" ได้ลบโพสต์และออกมาขอโทษต่อสาธารณะยอมรับว่าภาพและเรื่องราวนี้ "ไม่ใช่เหตุการณ์ที่เกิดขึ้นในโรงพยาบาลจังหวัดไพรแวง หรือโรงพยาบาลใดๆ ในกัมพูชา" ทางทีมงานเพจระบุว่าแค่โพสต์เพื่อ "ความตลก" (Joke) โดยก๊อปปี้มาจากบัญชีอื่น และยืนยันว่าไม่มีเจตนาบิดเบือนข้อมูลเพื่อทำร้ายประเทศ
เรื่องแมลงสาบในเครื่องเอกซเรย์เป็นเรื่องที่เคยเกิดขึ้นจริงในต่างประเทศ (เช่น เคนยา หรืออินเดีย ตามที่เล่าไปตอนแรก) แต่ในกรณีของกัมพูชา มีคนนำเรื่องนี้มา "สวมรอย" ว่าเกิดขึ้นที่กัมพูชา จนกลายเป็นเรื่องใหญ่ที่กระทรวงสาธารณสุขต้องออกมาจัดการ
ความจริงก็คือ แมลงสาบตัวนั้นไม่ได้อยู่ใน "ตัวคนไข้" แต่มันอยู่ใน "เครื่องเอกซเรย์"
อบ่างเคสนี้..คุณหมอดูรายงานผลเอ็กซ์เรย์แล้วบอกว่า "มีแมลงสาบตัวเป็นๆ ติดอยู่ในทรวงอกของคุณ คุณต้องไปผ่าตัดที่ต่างประเทศ" คนไข้จึงไปผ่าตัดที่สิงคโปร์! คุณหมอบอกว่าไม่มีแมลงสาบอยู่ในทรวงอกของคุณ! แต่กลับมีแมลงสาบอยู่ในเครื่องเอ็กซ์เรย์ของประเทศคุณ!
มันเข้าไปทำอะไรในนั้น? แมลงสาบเจ้ากรรม มันดันคลานเข้าไปติดอยู่ตรงบริเวณ กระจกหรือกล่องรับสัญญาณภาพ ของเครื่องเอกซเรย์ในจังหวะที่กดถ่ายพอดี
เงาของตัวแมลงสาบเลยถูกบันทึกลงไปบนภาพฟิล์ม ซ้อนทับกับตำแหน่งหน้าอกของคนไข้พอดิบพอดี ทำให้ดูเหมือนว่ามันอาศัยอยู่ในทรวงอกของชายผู้เคราะห์ร้ายคนนี้
เรื่องนี้ไม่ได้จบลงที่การผ่าตัดคีบแมลงออกจากปอด แต่จบลงที่ "การเรียกช่างมาทำความสะอาดเครื่องเอกซเรย์" และการเช็กความสะอาดของสถานพยาบาลแทนครับ คนไข้สบายดี ปอดสะอาดกริ๊บ ส่วนคนที่เกือบหัวใจวายคือคุณหมอนั่นเอง
ธนาคารไหนมีสาขามากที่สุดในประเทศไทย
5 จังหวัดที่มีป่าไม้มากที่สุดในไทย
เปิดโผ 3 นักษัตรฟ้าประทาน! หลังตรุษจีน 2569 ดวงเงินแรงจัด รับทรัพย์ไม่ทันตั้งตัว โอกาสทองพุ่งชนปลายกุมภาพันธ์
10 อันดับประเทศที่มีอิทธิพลมากที่สุดในเอเชีย
จังหวัดไหน ครองแชมป์มีพื้นที่ ปลูกข้าวมากที่สุดในประเทศไทย
5ประเทศที่นำอาวุธเข้ามาในประเทศมากที่สุดในเอเชีย
3 ผลไม้ที่ขึ้นชื่อว่าแพงที่สุดในโลก
ร้านกาแฟที่มีสาขามากที่สุดในประเทศไทย
😃 ชวนมาดูเหล่าผู้คนที่ชีวิตเหมือนอยู่ในเมืองมหัศจรรย์ตลอดเวลา เพราะพวกเขามักพบเจอแต่เรื่องราวแปลก ๆ อยู่เสมอ 😆
เขมรคุยโว! มีคนแห่เที่ยว "ถนนคนเดิน" ใน "พนมเปญ" วันละแสน..รั้งอันดับ 2 ของโลกเมืองที่น่าเที่ยวยามค่ำคืน
แอร์ฯ เตือนชัด! อย่ามองข้าม “เสื้อยืด” บนเครื่องบิน — เหตุผลด้านความปลอดภัยที่คนส่วนใหญ่ไม่เคยคิดถึง
เส้นทางรถไฟที่ยาวที่สุดในประเทศไทย
สวนสัตว์ที่ใหญ่ที่สุดในโลก ไม่ใช่แค่สวนสัตว์ แต่คืออาณาจักรสัตว์ป่า!
จังหวัดที่มี'ผังเมือง'สวยที่สุดของไทย
เปิดผังรักปี 2569! 4 คู่นักษัตรดวงสมพงศ์ อยู่ด้วยกันแล้วเฮงทั้งรัก-เงิน ปีมะเมียธาตุไฟหนุนแรงสุดขีด
ค้างคาวหัวค้อน พาหะนำโรคร้ายไปแพร่กระจาย
ไรขนตา ตัวไรที่อาศัยในรูขนตา มนุษย์และเมื่อพวกมันตายลงก็จะใช้รูขุมขนเป็นหลุมฝังศพของพวกมัน
เซอร์ไพรส์กลายเป็นโศกนาฏกรรม! บทเรียนราคาแพงของหนุ่มสายเปย์ เมื่อเงิน 7 หมื่นปลิวหายไปในพริบตา








